网络上搜索“洗牙好不好?”,就会弹出五花八门的答案,不禁让人犯迷糊。一部分网友表示洗完牙后牙齿变干净了,就连口气都变清新了,所以一定要定期洗牙。但是,也有大批洗过牙的网友站出来用自己的“亲身经历”提出反对意见:
“我洗牙的时候洗出了好多血,超级恶心。”
“我洗完牙以后牙齿敏感了,还酸软,一个星期咬不动硬的东西。”
“我洗完牙牙齿全松了,真是太可怕了,我以后再也不会去洗牙了。”

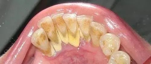
其实,上面两拨网友说的都没错。洗牙主要是洗掉牙齿上的牙菌斑、牙结石,洗完以后,牙齿“负担”的牙石、菌斑全部脱落,会重新恢复原本光滑健康的乳白色。

但是,如果菌斑和软垢较多,那么洗起来是比较费时费力的,因此出现牙龈流血,是正常的。洗完牙齿以后,没有牙结石的“保护”,裸露的牙面开始直接接触冷热食物,就会出现牙齿敏感。就像冬天脱去厚衣物,直接把自己暴露在冷空气里会突然打个激灵一样。属于机体的正常反应,给予一定的时间适应牙齿就能恢复正常了。

对于十几、二十年没有洗过牙的人来说,牙齿已经被牙结石包围了,且牙石已经向牙缝、牙龈下方累积。此时去洗牙,不但会出血,洗完牙齿以后会明显感觉到牙缝变大、牙齿松动了。这是因为沉积在牙缝、牙龈间的牙石使牙龈出现了大幅度的萎缩,这些东西被洗掉以后,牙齿失去牙石的支撑,又没有足够的牙龈保护,因此会明显变松。

所以才有网友发出震击灵魂的呐喊:“谁敢给我洗牙,我跟谁急!我的牙齿就靠牙石撑着了!”
只是, 不洗牙能让你的牙齿一直稳固吗?——当然不能。有严重牙石问题的朋友,此时去洗牙,还能挽救你垂垂欲坠的牙齿。如果放任牙石发展,牙龈会受到重创,最终导致严重的牙周炎,牙齿也会在你年纪轻轻的时候就相继脱落。

说了这么多,我知道洗牙很好了,但是洗牙确实会让有的牙齿变松啊!那怎么办?
一般来说,如果轻微的牙齿松动,洗牙后是会自愈的。洗牙会中止牙石对牙龈的侵害,没有受到威胁的牙龈会慢慢恢复健康,重新和牙齿贴合的长在一起,这样牙齿就恢复稳固啦。如果出现非常严重的牙齿松动,此时可以判断患者往往有严重的牙龈炎或者牙周炎,这就需要配合进一步的治疗,让牙齿和牙龈恢复健康。

绝大部分口腔问题,比如蛀牙、口臭、牙周炎等等,追根溯源,都是由牙石和牙菌斑引起的。洗牙是二者的克星,如果能做到定期洗牙,那么牙龈炎、牙周炎这些困扰着大众的问题,就不会出现在你身上。
洗牙有什么用? 洗牙,医院上称为洁治或洁牙。“洁”是指去掉牙面上的菌斑、色斑、牙垢和牙石,“治”是能起到治疗牙周疾病的作用。洗牙的主要目的是为了防治口腔疾病,而不单纯是为了好看。 洗牙的过程 1、消毒 通常在开始之前,医生会要求病人使用消毒液漱口。这个过程能够有效地降低唾液中细菌的含量,从而最大程度地减少污染。 2、洁治 洗牙的过程通常会有点不舒服,如果牙龈炎症比较严重,洗牙时可能会出血,其实出血的多少往往是炎症程度的反映,这种情况类似刷牙出血,不能因为出血就不去刷牙或洗牙,相反,只有认真刷牙、洗牙才能消除炎症,炎症控制或消除后出血会减轻或消失。 3、喷砂 这是通过特制的盐加上高压水为牙齿做进一步的清洗,清除色素的效果更为明显。 4、抛光 洗牙后抛光就像洗车后打蜡的效果。超声波洗牙后抛光可以使牙齿更光亮,牙面更光滑,从而减缓菌斑及色素的附着和牙石的生成。另外抛光也可以减小洗牙后的牙齿敏感。 洗牙有什么好处? 1、可以预防牙龈方面的疾病 不经常洗牙有可能患牙周病,这是是一种牙龈组织和骨骼的感染病,会使您的牙齿移位,是导致成年人牙齿脱落的元凶。如果早期诊断,牙周病可以治疗和扭转。如果没有得到治疗,后面将导致更严重的牙龈疾病。定期的洗牙和检查,可以有效防止牙床疾病。 2、可以预防口腔癌 根据口腔癌基金会的统计,仅在美国一地,每小时都有人死于口腔癌。如果您经常洗牙来保持牙齿的清洁,您的牙医也会帮你做口腔癌的检测,因为越早发现,治疗会越有效。 3、有助于维持身体健康 最近的研究表明,不经常洗牙导致口腔卫生不良的可能会诱发心脏病发作和中风。每6个月做一次洗牙有助于保持您的牙齿和牙龈健康,并可能降低您患心脏病和中风的风险。 4、有助于保持良好的口腔卫生 洗牙,将有助于确保您维护良好的口腔健康,与牙科检查有着异曲同工之妙。如果您的牙齿成长脱离了正轨,那么洗牙可以帮助你重新回到正确的道路。 5.早发现、早诊断、早治疗 您的牙医会在洗牙的过程中发现任何牙科疾病的早期迹象,无论是你的牙齿还是牙龈。如果通过洗牙及早地发现了蛀牙,那么只要打破填料和牙床,牙病很容易就可以治愈。如果您没有洗牙的习惯,那么当这些问题恶化后再去治疗,拔牙可能会成为唯一的治疗选择。






上一篇:牙疼,为什么牙医要抽掉牙神经?