做为口腔从业者
一向认为孩子是无辜的
自己尚不懂事
家长若不懂口腔护理
好端端一口乳牙
突然有一天就蛀了
如果老公说乳牙不用补怎么办?
让他看本文。
如果爷爷奶奶说乳牙不用补怎么办?
让他看本文。
如果七大姑八大姨说乳牙不用补怎么办?
让他看本文。
如果牙医说乳牙不用补怎么办?
让他重修!
刚开始是这样的
↓↓↓

老一辈人说,乳牙反正早晚都要换,不用管
别质疑一小点蛀牙到一大片蛀牙的发展
牙齿又不是荷花,
怎么能做到出淤泥而不染呢?
传染是分分钟的事情

家长开始有点紧张了,
然而村口摆地摊“100块种牙”的老大爷又说了,
“这算事儿吗?换牙就好了!”
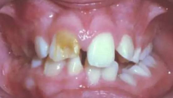
于是,牙齿就变成这样了。

你以为这是结束吗?
这只是噩梦的开始!
1. 乳牙不补,会引发更严重的牙齿问题
这样的牙齿还会引发更严重的牙齿问题↓↓↓

蛀牙细菌感染扩散成间隙感染
整个上唇部,面部肿起来
甚至会影响生命
2. 乳牙不补,会让下方的恒牙“躺着中枪”
确实,乳牙反正是要换
但是得知道乳牙和恒牙是那么那么的接近

釉质发育不全

恒牙异位萌出

3. 乳牙不补,长久形成偏侧咀嚼
偏侧咀嚼有问题吗?
你喜欢两侧一起来,效率
我喜欢一侧慢慢咬,品味
可是,偏侧咀嚼的后果
除了下巴骨不适、一侧牙齿磨损严重等问题外,

最糟糕的是,脸型变这样了
在这个颜值相当重要的社会,
别让牙齿有机会破坏孩子的美。

4. 乳牙不补,会影响美(ren)观(sheng)
牙齿好的孩子是这样笑的。

如果孩子的牙齿是这样的

只能“笑不露齿”了吧?
对小朋友的自信心也是重重的打击。
乳牙坏了,正确的手段是!
看牙医! 看牙医!看牙医!