
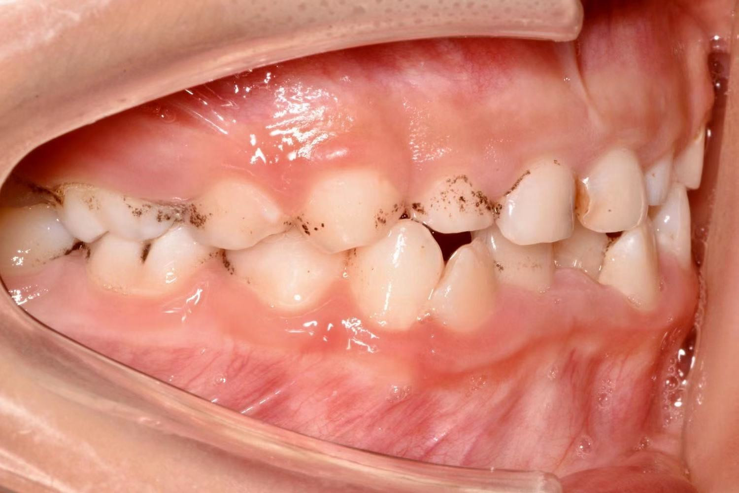
有了解牙科知识的小伙伴知道上面孩子的牙齿到底是什么问题呢?龋齿?牙垢?……
这个问题想必很多宝爸宝妈们也遇到过,有所困惑,既然如此,今天就来详细给各位解答一番。
小朋友牙齿上这些黑呼呼的东西其实是“色素”。儿童一般在2-6岁,牙齿就会开始有大量的软垢和色素。如果放任不管,就会发展成为龋齿威胁孩子的口腔健康。
色素沉淀是什么?
像下图,黄黄的部分就是软垢,黑黑的就是色素,是一种色素沉积。


孩子牙齿表面并不是光滑的,食物的残渣、色素在牙齿不光滑的凹槽处极易沉积,常规刷牙并不能清洗干净这些残渣色素,长此以往,牙齿上就会产生这些黑色(黄色)斑点,残留黑色素。
龋齿、黑色素沉积如此相像,小伙伴们又应该如何区别二者呢?
关键看污垢、菌斑是否破坏了牙体,侵蚀到牙齿内部。
◎龋齿:是牙菌斑已经侵蚀到牙齿内部,保护层遭受到破坏,牙体受损。
◎色素沉积:仅在牙齿表面形成污垢,保护层还没有被破坏。

虽然色素沉积不是蛀牙,但二者是递进的关系。色素牙垢里存在细菌,如果放任不管,可是极其容易导致龋齿的发生哦。
什么导致了色素沉积的产生?
饮食结构,频繁进食含色素食物或饮料
食物色素、糖分和牙齿的接触时间越长,越容易造成色素沉积。孩子们对蛋糕、糖果、饮料等甜食不加节制,口腔清洁马虎,就会极易导致色素沉积、产生软垢残渣。

刷牙习惯,刷牙不认真或错误刷牙
小孩子长乳牙或牙齿还未成长的时候也要饭后漱口或刷牙,不认真的刷牙习惯会导致进食后,食物中的色素长时间黏附在牙面,极易滋生细菌、黑色素。
药物原因,进食中药药剂、补铁剂等色素药物
孩子因为体质营养原因,摄入色素药物,形成易于色素沉积的菌群环境,导致黑色素。
如何去掉或避免这些黑色素呢?
儿童洗牙
不要认为只有成人才可以洗牙,小孩子也是可以的哦。
在美国,小朋友大约从3岁左右(孩子可以配合牙医治疗的时候),就开始坚持每半年定期洗牙了,只不过儿童洗牙和成人洗牙的手法有所差异。

那小朋友该如何洗牙呢?
2-6岁的儿童很少有牙结石,只是软垢和色素较多,牙医会用非常柔和的低速毛刷或抛光方式去除,过后还会使用牙线棒对孩子的每个牙缝做清洁。

所谓抛光,是用柔软的橡皮杯配合儿童喜欢的水果味抛光膏对牙齿表面进行抛光清洁,以去除软垢及色素,从而达到保护牙齿的目的。
窝沟封闭
小朋友的牙齿表面有许多细小的裂隙和窝沟,容易藏污纳垢,刷牙也较难清洁彻底。
窝沟封闭的原理是在牙齿窝沟内涂上一种对人体无害的树脂,经固化后如同给牙齿穿上了一层保护衣。防止黑色素的过度沉积,导致菌斑的不断侵蚀,产生龋齿。

涂氟保护
乳牙的牙釉质矿化程度低,对黑色素沉积防御能力较弱。可以带着孩子去牙科给牙齿涂上一层保护漆氟化物,抵抗“糖衣炮弹”的威胁。

最后的谨言
对于孩子的牙齿健康,宝爸宝妈也不需要过度担忧,只要记得定期检查、早预防早治疗就可做到防患未然。现代医学技术更加人性化,看牙也没有想象中那么可怕,孩子完全可以在轻松舒适的过程中完成诊疗哦。