医生,我牙缝大,吃东西老塞牙,怎么办?
医生,我牙缝太大,都不敢笑了,有方法治吗?
医生,我这门牙有缝,说话都漏风,能补起来吗?
……

民间有种说法:门牙有缝会漏财。因此,很多前来医院补牙缝的人,除了认为牙缝大影响美观,还有一个重要的原因——怕漏财!
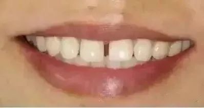
那什么是门牙缝隙大?
它是指前牙与前牙之间间距过大,参考下图↓↓

要是把门牙缝大这个BUG修复了,笑容就完美无缺了。但你知道造成门牙缝大的原因吗?
是瓜子磕多了?剔牙剔的?还是牙周炎造成的?一起来看看牙医咋说滴!
门牙缝过大有先天、后天两种原因:
❶先天分两种情况:一种情况牙齿萌出以后就是有缝的,还有一种情况是舌系带过长、过宽,导致牙齿发育过程中,阻碍两个牙齿并到一起。
❷后天患有牙周病的人也容易有大牙缝,因为患者的牙周组织受到破坏、导致牙槽骨大量流失,牙齿因为松动移位、形成缝隙。

牙缝大对口腔都有哪些危害?
1
影响口腔正常功能:降低咀嚼功能;影响发音功能,使有些音发不准确。
2
对口腔健康有害:稀疏的牙齿常常咬合不正常,使面部肌肉容易疲劳,还可引起颞下颌关节疾病,使张闭口时关节发出弹响声,时间久了还会引起疼痛等症状。
3
影响容貌美观:严重门牙缝大会引起面部不协调,以致影响面容美观。使选择职业:社会交际等受到影响。有的儿童思想负担沉重、有自卑感。
4
影响全身健康:门牙缝大易使咀嚼功能降低,食物咀嚼不充分,会增加胃肠负担,时间长了会引起消化不良或胃肠疾病,影响营养的吸收。有损身体健康。
门牙缝隙大怎么破?
要纠正门牙牙缝,先要找出造成牙缝的根本原因,否则即使暂时解决了牙缝问题,如果没解除根本原因,也很容易造成牙缝的再次复发。
1、矫正牙齿
矫正无需磨除健康牙齿就能将门牙缝隙闭合,排齐牙齿,效果自然且健康,而且彻底解决牙缝问题。

有部分患者觉得传统金属矫正器不美观、舒适、时间漫长而拒绝矫正,这时中诺口腔全隐形牙套就是最理想选择。
♥.能让患者在不影响外观下,悄悄变美。
♥.可随时摘戴,方便、舒适。
♥.可以通过计算机软件模拟矫正过程,直接看到矫正后结果。

2、瓷贴面
瓷贴面,自然不易脱落,可以最大限度少磨牙或不磨牙。对于氟斑牙、轻中度四环素牙、轻微牙齿稀疏或排列不齐等问题有优良的美学效果。

但是它的缺点是价格相对较贵,适应症有一定的局限性,它对于一些缝隙过大、牙齿过于扭曲的牙齿并不适用。
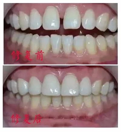
下图是修复牙缝大的前后对比图,牙齿长宽比例完美,显得年轻有活力,又可以放肆笑了。

温馨提示:牙缝大的问题在我们的生活中很常见,却给我们带来了诸多困扰,因此,及时解决牙缝大问题才是正道。