很多人都有一种感觉,到了口腔科,医生们最常挂在嘴边的话就是
什么大问题,牙龈炎,去洗个牙吧~
你这牙周炎很严重啊,快去洗个牙吧~
怀孕之前去洗个牙吧~
做假牙之前去洗个牙吧~
正畸之前去洗个牙吧~
种植之前去洗个牙吧~
以后一年来洗两次牙吧~

医生总是唠唠叨叨,说洗牙有多好有多好。为什么医生总是叫你去洗牙呢?
即使你认真刷牙看的见得地方是这样的

但看不见的地方是这样的↓↓↓

图2
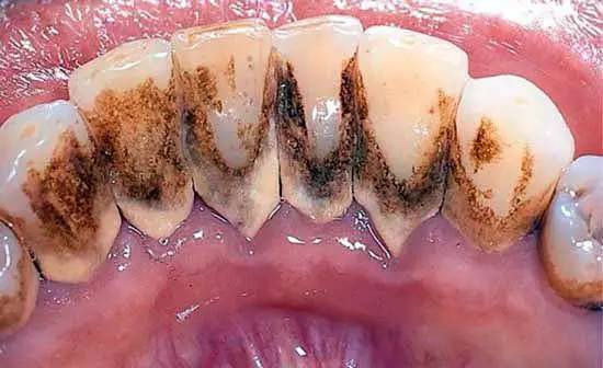
如果更严重点,有可能是这样的↓↓↓
牙龈周边积聚着大量黑褐色牙结石并伴有口腔异味,牙龈红肿明显,时间一长,很有可能造成牙齿松动脱落。 如下图↓↓↓

我们的口腔每天都处在水深火热中...在我们大快朵颐之后,若不注意口腔卫生,长期下来就会堆积很多黄色的,棕色的甚至黑色的脏东西,也就是牙结石。
牙结石又分为「龈上结石」和「龈下结石」,龈上结石看得见,但是龈下的就没那么容易看得见了,也很难彻底清理,会刺激牙龈,造成牙龈发炎,糜烂,出血,加上牙周炎病人牙周袋较深,易堆积细菌,最后可能会导致牙齿脱落。
而且,一般常规的洗牙只能去除表面(龈上)的牙结石,而不能达到清洁牙齿的效果,想要彻底清除刺激物,就需要做深度清洁(深刮)。
↓

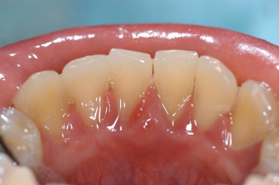
(洁牙中)

(洁牙后)

简单来说:
◆去除牙菌斑、牙结石;
◆消除炎症,恢复软组织形态,维持牙槽骨高度;
◆及时发现口腔中的其他隐患、问题。
问:为什么洗牙会出血?
答:这是由于牙结石长期刺激牙周导致的牙周炎症出血,把牙石清除掉就会缓解了~
问:刮治后,牙缝变大了
答:由于牙结石的累积,会将牙龈慢慢下压,导致牙龈萎缩,再加上大量牙石填满牙缝周围,因此清除后牙缝看起来好像变大了。
建议:大家养成定期洗牙的习惯,不然萎缩的牙龈是很难再长回来的。

问:洗牙(深度)会痛吗?
答:这取决于牙周袋的深度和牙根是否平整。若牙周袋不是很深,在刮治过程中可能不会感到疼痛,只是偶尔会有一点不适感。若牙周袋较深的患者,牙医可能会在局部打麻药,让治疗的过程比较舒适。
问:他们说把牙洗松了?
答:他们洗牙前就有严重的牙周炎,牙槽骨吸收严重,高度已经降低到牙根暴露的水平,洗牙去掉了“糊”在牙根的牙结石,会自己觉得反而牙变松了。举个“栗子”,牙齿长在牙槽骨里像大树种在土壤里,培养大树的土壤薄而上面全是石头,大树虽然看起来稳固,但失去土壤的滋养也会慢慢枯死,我们搬走了石头,培上土虽然短期内看上去松了,但是土一实就稳固了。去除了牙结石,但是迎来了牙槽骨的恢复,怎么看都是赚的。
问:他们说洗牙容易敏感?
答:一周后恢复,因人而异。

最后还会有疑问为什么准备要小宝宝前妈妈要洗牙?
答:因为牙龈是性激素、雌激素的作用器官。有两种病叫妊娠期龈炎、妊娠期龈瘤(别太担心本质不是肿瘤)正是怀孕时女性性激素、雌激素水平升高直接作用在牙龈上造成的,并且,如果妈妈还长了智齿,那么因为激素水平的变化,极易引起智齿冠周炎,那时候药也不能吃,牙也不能拔,只有忍(辛苦啦!向妈妈们致敬)。备孕时洗牙,既能有效预防怀孕时牙龈、牙周疾病,还能及时发现口腔其他问题,避免了怀孕时不能做多数治疗的风险
好了,说了这么多还会疑惑医生让你洗牙的原因了吗?
最后,祝大家每次自拍都能像它们一样开怀大笑
show出一口好牙!
