导语:
每一个人的面部轮廓,是由颧骨、下颌骨和牙齿联合构成的。拔智齿可以瘦脸是目前新出现的一种说法。为了瘦脸,很多长有智齿却不敢拔牙的女士都鼓足勇气,选择拔掉智齿。其实,说拔智齿能瘦脸并不完全正确。
曾经有某女明星在被娱乐记者质疑是否做了削骨瘦脸时,大方宣称:“我只是拔了四颗牙而已,脸形就发生变化了。”许多爱美人士信其言,并效仿之去拔除智齿,但脸型并未发生明显变化。
拔智齿真的能瘦脸?
不能一概而论
从解剖和生理的角度来看,拔智齿不能直接起到“瘦脸”的作用。其原因简单说来就是,脸的宽、窄、大、小与智齿没有关系。人脸,其实就是一张“皮囊”,覆盖在面部的骨骼和肌肉上。
颧骨、上颌骨和下颌骨,就像帐篷的支架一样,把脸皮撑起来,决定了脸的大致形状。而脸部的肌肉和牙齿只是对于脸型有一定的细节修饰作用。脸皮上部的支撑主要靠颧骨和上颌骨,最宽部位在颧骨。而上颌智齿位于上颌骨内,即使稍有向外倾斜,也还位于颧骨内侧,显而易见,它们对脸的支撑作用可以忽略不计。
颅面骨正面观中的颧骨、上颌骨和下颌骨,颧骨和下颌角决定了脸颊的宽度。而影响人脸下部宽度的结构主要是下颌角和咬肌。咬肌是附着于上颌骨颧突、颧骨弓和下颌角上的肌肉。如果一个人的下颌角肥大,且咬肌发达,就会显得脸很宽。在整形外科,通过下颌角截骨手术和下颌骨磨削手术可以实现改变脸宽和脸型的效果。咬肌的附着。下颌牙齿对脸型的影响主要是支撑嘴唇(前牙)和脸颊(后牙),维持脸部高度。

如果缺失了大部分的牙齿,像八十多岁无牙老奶奶那样,脸部会呈塌陷状态,但基本不会改变脸的宽窄。如果只是拔除一两颗智齿,连对支撑作用的影响都是微小的,几乎不会对脸部形状有任何改变。
既然脸的宽度和形状与智齿无关,那拔除智齿自然是不能瘦脸的。不过,不少人认为:“拔智齿瘦脸是因为智齿长歪了,顶在颊侧,造成下颌角肥大。”这样的说法实属想当然。
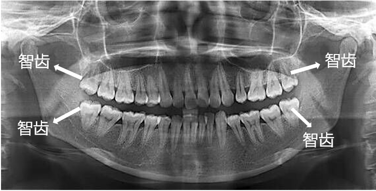
长歪的智齿,医学上称为阻生智齿。大多数阻生智齿要么完全埋伏在颌骨里,要靠X线片才能发现;要么“小荷才露尖尖角”,只冒出一点小牙尖。拔除这类智齿,周围的软、硬组织基本没啥变化,对瘦脸不会有丝毫作用。
另外,医学上并没有发现长歪的智齿能够使下颌角肥大的,除非是发生囊肿,使颌骨膨大起来,但这时的首要问题就不是瘦脸了,而是要治病救人。如果是智齿严重颊侧(外侧)倾斜并顶住颊侧黏膜的情况,在咀嚼摩擦下,黏膜很容易破损、疼痛,恐怕还没等到它“支撑”起黏膜,使你的脸变宽,你就不得不跑去拔掉了。

“拔智齿瘦脸”的说法长盛不衰,一方面表达了大家的美好愿望,另一方面可能只是错觉。拔除智齿后三五天内,脸部一般会肿胀,此时是“肿脸”,而不是“瘦脸”;但等脸部肿胀消退,恢复原形,大有“士别三日当刮目相待”之感,这种变化可能会给人“瘦脸”的错觉。另外,拔牙后的一两周内,在饮食方面是有些妨碍的,尤其是头一周内医生一般建议要“喝粥”。一段时间不能暴饮暴食,加上由于疼痛不适,影响休息,“为伊消得人憔悴”,瘦了也是理所当然。因此,当有些“大脸”妹子信誓旦旦地说“拔智齿瘦脸”确有奇效时,我们也不必感到太惊讶。只是,这“瘦脸”与拔智齿仅仅间接相关,而非直接因果。
想要真正有效地瘦脸,还是要靠减肥、抽脂、打瘦脸针、做下颌骨手术等途径,拔牙的话,还是算了吧。

拔智齿会造成牙齿倾斜吗?
在缺失牙的情况下,医生往往告知病人需要尽快安装义齿,不然会有临牙倾斜的可能,这会增加后期修复的难度并且增加治疗费用。既然牙齿会“自己”移动,很多有阻生牙的患者会担心自己拔牙后,前方的第二磨牙会向“后方”倾斜。下面我们就根据牙齿的解剖生理阐述牙齿的移动原理,以及拔智齿后第二磨牙是否“安全”。
牙齿移动的正确姿势
首先,我们说明一下牙齿为什么会前移。在正常生理状态下,牙齿相邻的两个面在不断地磨损,再加上对牙合牙齿的咬合力向前分力作用下,全口牙齿终身都会向前移动。结果就是在几十年的使用过程中,人的牙弓会逐渐变短。所以在个别牙缺失时,后面牙齿会向前倾倒。
拔智齿需重视对牙合(he)牙
牙齿的天然磨耗以及行使功能的过程中并不存在向后的力,所以也就不存在拔牙后第二磨牙后移的情况。相较于考虑临牙倾斜的变化,我们更多需要关注的是智齿对牙合(he)牙的垂直向的变化。
如果拔牙后对牙合牙没有咬合接触,在智齿拔除后对牙合牙将会伸长、过度萌发,甚至咬合时直接咬到对面牙龈上,造成咬合疼,进而影响正常咬合。同时,伸长的牙齿会造成明显的食物嵌塞,对牙周组织不利。所以,针对这类患者,我们建议同期或者择期拔除无咬合关系的对牙合智齿,让自己的智齿不再成为后顾之忧。
上一篇:再爱孩子,也要让他承受这七种苦
下一篇:这七类人千万不要去拔牙