不知道你有没有遇上过这样尴尬的经历,当你的小伙伴兴致勃勃的和你谈论一些事情的时候,从TA口腔里传出来的异味真是人让人想要退避三舍,可是又怕小伙伴尴尬,就那么硬生生的承受着,却又不敢直说。其实这个时候你最该告诉你的小伙伴,你该做个口腔检查了!

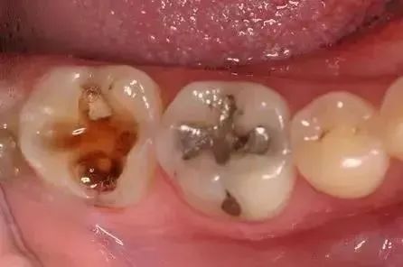
虽然导致口臭的原因有肠胃因素,但你可知道口腔疾病照样也会让你产生口臭?尤其是当你的牙齿发生蛀牙时,你的口腔里就像有了一个大型的垃圾场,无时无刻的散发着那股醉人的味道。

虽然蛀牙是由细菌为主的多种因素导致的,但究其根本就是你的口腔卫生差!一旦你没有做好口腔清洁卫生工作,饭后不及时刷牙,导致食物残渣残留,那么牙齿就会慢慢发生龋坏,牙洞里面就会有很多的细菌不断破坏牙齿,残渣也会慢慢的塞嵌进入蛀洞内。这些食物残渣在细菌和微生物的作用下,慢慢腐化发酵,从而产生一股难闻的气味!你说你口臭怪谁呢?
那么有了蛀牙该怎么办呢?
当然是去补!牙!啦!

蛀牙,虫牙是「龋齿」的俗称,只是「蛀牙、虫牙」叫起来比较顺嘴,听起来更加直观。当然,龋齿才没有「虫子」那么土气,它叫「变形链球菌」(很委婉的名字,主要的致龋齿菌之一)。

蛀牙里面真的有虫吗?
小编:说得像老婆饼里有老婆一样!( 认真脸)
真正原因:蛀牙 = 细菌 + 口腔环境(食物残渣) + 宿主(就是你的牙齿) + 时间。
我们每天吃进的食物,总有一些食物残渣留未得到清洁留在牙缝中,而且口腔中有无数细菌,其中有几种细菌,会把你的口腔中的残渣消化成酸性物质,当这些酸性物质聚集在牙齿表面,牙齿就脱矿了,水滴石穿,到一定程度的时候,牙齿表面就被逐渐腐蚀,形成一个洞,就是蛀牙啦。所以,蛀牙不是真的有蛀虫或者其他什么虫子,而是牙齿被逐渐腐蚀的结果。

简单原理就是:食物残渣——繁殖细菌(产生酸性物质)——破坏牙釉质(牙釉质脱落)——牙本质露出(牙本质叫疏松更易破坏)——形成龋洞(由小到大)
举个栗子:牙齿与骨的成份类似,也有钙盐和蛋白质。做酥鱼多放醋,烧很长时间连骨头都酥了,原理就是脱钙,只剩下骨蛋白。同样道理,牙缝中的酸性物质也可以腐蚀牙齿。当然,这种腐蚀是需要时间的。
龋齿(蛀牙)发展三部曲:
浅龋:细菌只附在牙釉质层,初期表现为牙釉质面上有褐色或黑褐色的斑块,一般无症状,在检查时下被发现。
中龋:细菌已经攻到牙本质层了,这种情况下,有可能一开始会感觉到酸痛,但是过一段时间就慢慢没那么明显了。
深龋:细菌攻破牙本质快接近牙髓的时候,就比较严重了,一般遇到冷热酸甜都是很酸痛或刺痛。严重的还会扩散到牙周,引发牙周感染。
龋齿(蛀牙)的治疗方法:
补牙:治疗蛀牙最主要的方法就是补牙,就是将“蛀”的部分去除净、做成一定的洞形、消毒以后、用充填材料填充、并恢复牙齿缺损的外形。

根管治疗:当牙齿已经蛀的很严重,对冷热酸甜等食物刺激敏感,当损伤到达牙髓,引起牙髓炎,此时牙痛会十分严重,一般需要根管治疗,将被感染的死髓进行清除,根管治疗的技术现在也已经比较成熟了,对牙齿保留起到非常好的作用。一般根管治疗后,最好做个牙套保护起来。


如果你明明知道牙齿有问题,也没能在上一个阶段挽救你的牙齿,那只能种植牙朋友咯。

如何预防蛀牙?
良好的口腔卫生,适当的营养,少吃零食,少喝碳酸饮料,全口或者局部使用氟化物及窝沟封闭,这些都可以减少患蛀牙的风险。
牙齿里真的会有虫吗?
以下内容可能会引起不适,请谨慎浏览。
案例:巴西一名10岁女童一直被牙痛困扰,她对家人说感觉嘴巴内疑似有东西在动,牙医一检查才发现,牙齿里面有虫子。不是蛀虫,是真的虫子,还是活的,在动。最后,牙医从她肿胀的牙龈中取出15条活生生的蛆虫。小帮被吓坏了!
牙医说,女童患的是口腔蝇蛆病,是昆虫幼虫通过寄生在人体组织器官内,慢慢成长的寄生虫,严重可能导致寄主死亡。
何为蝇蛆病:蝇蛆病可以说是一种罕见的病,常发生在重症病人、儿童、张口呼吸及野外工作者身上。很多人都有张口睡觉的习惯,平时比较随便,不注重个人卫生,喜欢猫狗鸟等小动物;同时,因为怕查出病,有的人几年都不去体检。有些人口腔异味很大,特别是有吸烟习惯的人,牙齿上有明显的牙垢。
上一篇:医生,洗牙后我牙齿酸软咋回事?
下一篇:史上最全的口腔医嘱,必须收藏!