欢迎访问楚雄贝安口腔医院官网!

诊疗项目

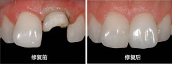
修复
日期:2020-04-24 13:21:01 发布:贝安口腔医院 来源:贝安口腔医院 阅读:5 分享:

简介


编辑

在牙齿修复过程中,从设计到制备,每一具体步骤、操作,都必须顾及牙齿组织的保留。使牙体缺损部分得

修复修复

以恢复的医疗实践。造成牙体缺损的原因主要为龋齿,其次为外伤、磨蚀、酸蚀等。修复方法可根据牙体缺损情况和使用材料情况,选用树脂修复、全瓷修复、烤瓷修复等。 

树脂修复

介绍

树脂修复是指因龋齿、楔状缺损、外伤等造成牙体组织缺损者,使用复合树脂材料进行修补,以恢复其外形和功能。充填后的牙齿逼真,几乎看不出是修补过的。树脂类充填材料可以用于前后牙,称牙色材料,树脂修复有赖于良好的粘接修复技术。

口腔医学中的粘接修复是在牙齿缺损,将树脂类的充填物通过粘接材料固定到牙齿表面结构或其它修复材料上去达到修复或治疗效果的技术。粘接力的发挥主要依靠高分子有机粘接材料(树脂粘接材料)和各种粘接技术。

复合树脂充填材料用于牙体修复已超过半个世纪的时间,随着材料学技术的日新月异,粘接系统和复合树脂材料已能够达到既牢固又美观的临床使用要求,成为牙体直接修复中的首选技术。

直接粘接修复技术的适应症包括修复各种原因造成的前牙牙体缺损及色泽、形态的异常等,修复的最终目的是恢复患牙的形态和美观。

对于牙釉质的粘接需要使用磷酸酸蚀粘接系统,对于牙本质的粘接则使用全酸蚀或自酸蚀牙本质粘接系统,修复材料则应选择复合树脂材料。修复中可根据患者的要求及患牙的条件选择单色、双色和多色树脂修复技术,以满足不同的美学修复目标。唇舌侧贯通的牙体组织缺损,应在舌侧充填具有遮色效果的树脂以减小口腔暗背景对修复体色泽的影响。唇面缺损的修复应体现牙体组织的细节和个性化解剖特征。

对于外伤冠折牙齿的美学修复,可以用粘接系统将断离牙冠与剩余牙体组织对位粘接,必要时还可以打纤维桩增强固位。复合树脂直接粘接修复技术有保守、隐形、快捷等优势。  

特点

1.优点

A.微创。牙体缺损几乎不用备牙便具有超强的粘接力。并且符合现代口腔医学的微创理念。在做贴面及牙体缺损的过程中仅仅需要全瓷贴面备牙量的1/2即可。

B.逼真。因其分层固化,所以拥有天然牙对于光线的反射及折射,做出来的修复真假难辨,肉眼几乎无法察觉。适合前牙美学修复。

C.即刻。几乎所有龋齿充填项目及小部分牙体缺损都可以随治随走。

D.高强度。复合树脂无机物填料比例达到80%,表面处理部分具有高折射率的纳米氧化锆,内含有高折射率的新型玻璃填料。所以拥有超高强度。 

2.缺点:价格较普通充填材料稍贵。

适用范围

适应范围广泛几乎可以用于所有的牙体缺损。

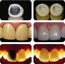
全瓷修复

介绍

全瓷修复是无金属瓷修复的统称,修复体不再使用金属,而采用与牙齿颜色相近的高强度瓷材料制成,因此

全瓷牙全瓷牙

较金属基底烤瓷修复体更美观,半透明度与天然牙近似,修复后牙龈边缘表现更加自然,可达到仿真效果,且具有对周边组织无刺激等优点,已被广泛用于临床。全瓷修复弥补了金属烤瓷技术的诸多缺陷,且具良好的牙齿美容功效。 [4] 

优势

全瓷修复比传统修复的优势在于:

  1. 全瓷修复可以对人的牙齿进行个性化调整。但价格比传统修复要高。

  2. 做全瓷牙的朋友可以提前看到修复的效果。整个修复过程可以跟医生直接交流。

  3. 全瓷牙的生物相容性好,不刺激口腔组织,易清洁。

4.色泽形态逼真,咀嚼功能、稳固性都非常接近真牙。不会出现崩瓷、黑线等现象。

适应症

1、镶复缺牙:关于缺少的牙齿,运用缺牙前后的牙齿做固位牙,加上缺牙将多少个全瓷牙冠连在一同,将其粘固在固位牙上,便可以镶复缺牙。

2、矫正牙齿发育异常:关于不一般的牙齿发育,如过小牙,牙间隙宽,个别牙不齐,釉质发育不全等,这些经过全瓷牙修复后可以把牙齿的形状、色调恢复到理想形态。

3、牙齿治疗后修复:许多牙齿治疗后会留下牙齿问题,如牙髓治疗后易形成牙齿变色,补料零落及牙齿折裂,选用全瓷牙修复可预防。

4、修复牙齿发黄发黑的迹象:如四环素牙、氟斑牙、死髓牙等都可以通过全瓷牙的方式进行修复。

5. 种植修复:种植体植入后,进行上部牙体的修复。 [4] 

技术分类

  1. 计算机CAD/CAM技术

代表产品:LAVA ,CEREC,CERCON,EVEREST,DCS,PROCERA

原理和工艺流程:计算机全瓷辅助设计和机加工系统,采用的原理基本相同,把工业上使用的CAD/CAM小型化,计算机全瓷制作过程分为:模型扫描,成像设计,修复体研磨,修复体烧制等过程。  

技术和材料特点:计算机全瓷技术,设备昂贵,材料成本较高,技术先进,加工精度高,制作迅速。计算机全瓷技术使用的材料大多为氧化锆和玻璃陶瓷,氧化锆具有非常好的强度和美观仿真性。适应症:嵌体、高嵌体、单冠、联冠、常规牙桥、单端桥、嵌体桥、粘接桥、套筒冠、种植体基台及上部修复结构等。由于氧化锆全瓷需非常好的精密度,建议使用聚醚或硅橡胶制取印模,以得到准确的模型。可使用普通水门汀或树脂水门汀粘接。

2.铸造瓷

代表产品:e.max press,EMPRESS2

原理和工艺流程:和金属铸造原理一样,采用失蜡法,只是把金属换成了瓷块,铸造过程采用真空铸压的铸造机。

技术和材料特点:铸瓷技术基本类似于常见的铸造方法。铸瓷材料比较透明,对于颜色较深的牙龈,不适合作铸瓷修复,后牙也不适合做铸瓷修复。铸瓷桥超过三单位,只能用于前牙和前磨牙。

适应症:瓷贴面,瓷嵌体,单冠,前牙三单位桥、种植体基台及上部修复结构等。

烤瓷修复


介绍

烤瓷熔附金属全冠又称金属烤瓷联合冠,简称金瓷冠,是瓷粉经过高温烧结熔附与金属内冠表面而形成的全冠修复体。 

特点

1、金瓷冠最大的优点是美观效果和强度均较佳,结合了全瓷冠的美观和金属冠强度的优点

金属烤瓷牙和全瓷牙对比金属烤瓷牙和全瓷牙对比

2、形态逼真,形态问题和颜色一样,是大多牙齿美容失败的重要原因。

3、烤瓷熔附金属全冠的制作需与患者本人的适合:不能千人一面,一定要依据患者的年龄、职业、肤色、喜好等诸多因素仔细判断、确定颜色和形状,做到个性化,才能算真正为患者做到美容。

4、粘固对于美观也非常重要,粘固全冠可以用比如:3M ESPE RrlyXTM Unicem、RrlyXTM Luting系列均是不错选择。 [7] 

适用范围

1.美观要求较高者,前后牙均可采用。

2.变色牙,不宜用其他方法修复者。

3.畸形小牙、釉质发育不全等需要改善牙冠形态者。

4.前牙错位、扭转等不宜或不能采用正畸治疗者,要求改善美观。

5.根管治疗后经过桩核修复的残根残冠。

6.单个牙牙体缺损的修复,也可作为固定义齿的固位体。

7.牙周病矫形治疗的固定夹板。 [7]


上一篇:正畸

下一篇:洁牙